Radiologie

Les différentes techniques d’imagerie médicale permettent d’obtenir une représentation des tissus et des organes d’un patient et contribuent ainsi de manière déterminante à la pose du diagnostic. 

Nous déployons nos activités sur les sites H-JU de Delémont et Porrentruy, ainsi qu'à MEDIQO+ au centre-ville de Delémont. Nous offrons des prestations diagnostiques et interventionnelles non seulement pour les patients hospitalisés, mais également pour des patients ambulants.

Nous offrons une gamme moderne, performante et complète d’examens, notre parc d’appareils est en constante évolution. Il s’agit notamment de la radiologie conventionnelle, de la mammographie, de l’échographie, du scanner (CT) et de l’imagerie par résonnance magnétique (IRM). Nous fournissons également plusieurs prestations de radiologie interventionnelle telles que des infiltrations articulaires et vertébrales, des interventions micro-invasives du dos, des drainages et des biopsies.

A MEDIQO+, un nouvel équipement de radiologie conventionnelle permet de réaliser toutes les radiographies standards (sauf  membres inférieurs totaux et colonne vertébrale totale). La prestation est délivrée entre 9h et 18h, les jours ouvrables, par des collaboratrices/teurs du Service de radiologie de l’H-JU. Nous disposons également d'un appareil de densitométrie pour mesurer la masse et la qualité osseuse des patients. Informations complètes sur www.mediqo.ch/radiologie

Notre Service couvre presque entièrement la demande d’examens d’imagerie médicale pour le Canton du Jura. Nous effectuons chaque année plusieurs dizaines de milliers d'examens et inventions pour la population jurassienne et des régions limitrophes. 

Notre équipe se compose de médecins radiologues, de TRM (technicien·ne·s en radiologie médicale) et de secrétaires médicales. 

Notre but étant d’offrir des services de qualité à la population jurassienne et alentours, avec tous les moyens à disposition et en tenant compte d’une collaboration proche avec les cliniciens.

Hôpital du Jura
Site de Delémont
Site de Porrentruy
MEDIQO (Rue de l'Avenir 3, Delémont)

 

Contact unique pour les 3 sites : 
Tél.+41 32 421 20 06
 secretariat.radiologie@h-ju.ch

Radiologie

Infos pour les médecins traitants

Radiographie conventionnelle et densitométrie

Chez MEDIQO, une radiographie est possible sans rendez-vous entre 9h et 18h, les jours ouvrables.

Il est possible également de planifier votre examen : appelez entre 7h et 18h le 032 421 20 06 ou contactez le service de radiologie H-JU par mail secretariat.radiologie@h-ju.ch  

MEDIQO et MediPed
Rue de l'Avenir 3
2800 Delémont

L’imagerie musculo-squelettique est dédiée à l’analyse de l’appareil locomoteur. En collaboration principalement avec le service d’orthopédie, de rhumatologie et de chirurgie traumatologique, deux grands pans d’activité au sein du service de radiologie de l’H-JU sont disponibles :

  • l’imagerie diagnostic (Radiographie, CT-scanner, Echographie, IRM) des membres périphériques et du rachis dans son ensemble
  • l’imagerie interventionnelle visant à traiter/amélioration la symptomatologie des différentes affections de l’appareil locomoteurs par voie percutanée (cf. liste des prestations).

 

Prestations 

  • Examen diagnostic de l’appareil locomoteur dans son ensemble (rachis et membres périphériques) sous différentes modalités d’imagerie avec ou sans injection de produit de contraste IV et intra-articulaire
  • Infiltrations sous CT-scanner du rachis dans son ensemble
  • Infiltration des articulations et parties molles (péritendineuses, périnerveuses) des membres périphériques sous fluoroscopie et échographie
  • Ponctions évacuatrices de lésions kystiques des membres périphériques
  • Trituration de calcifications tendineuses de la coiffe des rotateurs
  • Biopsie osseuses et des parties molles de l’appareil locomoteur

La neuroradiologie s’occupe de l’étude du système nerveux central (cerveau, moelle épinière). L’Imagerie ORL s’attache à l’étude des affections touchant les structures aéro-digestives du cou (cavité buccale, pharynx, larynx) et de l’oreille (troubles de l’audition, équilibre).

Les prestations réalisées à l’H-JU en neuroradiologie sont les suivantes :

  • Echo-Doppler des artères carotides et des artères vertébrales pour recherche de sténoses / occlusions
  • CT scan cérébral natif : rechercher une hémorragie (traumatique, AVC) ; œdème cérébral ; dilatation ventriculaire
  • CT scan cérébral injecté : recherche de métastases, tumeurs primaires, abcès.
  • Angio-scanner des artères pré-cérébrales pour sténose/dissection/occlusion carotidienne et/ou vertébrale
  • IRM cérébrale : recherche d’AVC ischémique aigu ; métastases/tumeurs primaires ; abcès/infections, malformations congénitales, malformations vasculaires ; maladies inflammatoires (SEP, …) ; maladies métaboliques
  • IRM médullaire : recherche de lésions ischémiques, hémorragiques, inflammatoires (SEP …), tumorales, malformations vasculaires
  • IRM hypophysaire : recherche d’adénome hypophysaire
  • Angio-IRM des artères du cou : dissection, sténose, occlusion

 

Pour la sphère ORL :

  • Fluoroscopie du cou avec produit de contraste par voie orale : étude de la motilité de l’œsophage, recherche de fausses routes, recherche de lésions œsophagiennes (diverticules, masse, empreinte de ostéophytes cervicaux sur l’œsophage), recherche de reflux gastro-œsophagien.
  • Echographie de cou : analyse de la thyroïde (taille, présence de nodules)
  • Cytoponction sous échographie de nodules thyroïdiens pour analyse
  • Echographie du cou pour recherche de adénopathies
  • Ponction-biopsies sous ultrasons de adénomégalies pour analyse pathologique (métastase tumorale, lymphome)
  • CT scan des sinus : étude de l’anatomie de cavités sinusiennes, variantes anatomiques, recherche de sinusite aigue ou chronique, perméabilité des différentes voies de drainage des cavités sinusiennes
  • CT scan des rochers : recherche de pathologie de l’oreille : conduit auditif externe, oreille moyenne, oreille interne (variantes de la norme/malformations, cholestéatome, processus inflammatoire ou tumoral…)
  • CT scan du cou avec injection : recherche d’inflammation/abcès du cou : profonds (tonsilles, pharynx, larynx) ; superficiels : adénopathies abcédées, abcès/inflammation de la graisse sous-cutanée ; localisation et nombre des éventuelles adénopathies cervicales ; recherche de lésions tumorales superficielles (ganglions, muscles, colonne cervicale, glandes salivaires) ou profondes
  • IRM du cou : recherche de cholestéatome (séquence diffusion), pathologie tumorale, anomalies congénitales (kystes branchiaux…)
  • Sialo-IRM : étude des canaux de glandes parotides (obstruction par lithiase, sténoses, inflammations…)

L’imagerie uro-génitale est dédiée à l’analyse de l’appareil urinaire et de l’appareil reproducteur de l’homme et de la femme. Les médecins radiologues de l’H-JU spécialisés en ce domaine collaborent étroitement avec les médecins urologues et gynécologues.

Le domaine de l’imagerie uro-génitale s’est développé de façon très importantes ces dernières années et les radiologues de l'H-JU se forment régulièrement pour assurer la meilleure qualité possible des prestations fournies aux patientes et patients.

Voici la liste des prestations d'imagerie uro-génitale réalisées quotidiennement à l'H-JU:

  • SCANNER NATIF sans injection de contraste, pour bilan des lithiases urinaires
  • SCANNER 4 PHASES avec injection de contraste iodé, pour détection et suivi des tumeurs des voies urinaires
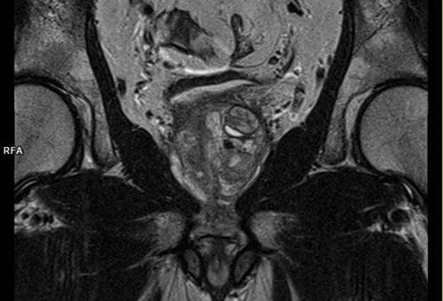
  • IRM PROSTATIQUE, détection et bilan loco-régional de cancer de la prostate
  • IRM CORPS ENTIER, recherche de métastases de cancer de la prostate
  • IRM PELVIS FEMININ, pour recherche d’endométriose, détection de néoplasie de l’utérus et des ovaires
  • IRM DEFECHOGRAPHIE DYNAMIQUE, pour recherche de prolapsus des organes pelviens et de rectocèle
  • CYSTOGRAPHIE RETROGRADE, pour recherche de reflux vésico-urétéral, d’anomalie de la vessie et de l’urètre
  • ECHOGRAPHIE TESTICULAIRE, exclure une torsion testiculaire, un varicocèle, une infection du testicule et/ou de l’épididyme, un néoplasie testiculaire
  • ECHOGRAPHIE RENO-VESCICALE, examen de première intention pour l’investigation de l’hématurie, pour l’estimation du volume de la vessie et du résidu post-mictionnel, pour l’évaluation du volume prostatique

     

IRM prostatique

L'imagerie de la femme est dédiée à l'étude des organes génitaux internes et externes de la femme. Elle se divise en 2 grands pôles :

  •  La sénologie ou imagerie mammaire.
  •  L'imagerie gynécologique.

A l'H-JU, nous possédons plusieurs radiologues spécialisés dans ces domaines, qui collaborent étroitement avec les médecins gynécologues et oncologues afin d'assurer une prise en charge rapide, adaptée et optimale, pour chaque patiente.

Pôle sénologie 
Nous effectuons à l'H-JU l'ensemble des pans d'activités liés à l'imagerie mammaire :

  • L'imagerie de dépistage, dans le cadre du dépistage organisé du cancer du sein, à partie de 50 ans (mammographie).
  • L'imagerie diagnostique, dans le cadre du dépistage individuel du cancer du sein en cas de symptômes et chez les patientes à risque (mammographie, tomosynthèse, échographie mammaire, IRM mammaire).
  • L'imagerie interventionnelle, qui permet principalement de réaliser des prélèvements des lésions mammaires pour analyse histologique (microbiopsies de sein sous échographie, macrobiopsies sous stéréotaxie et sous échographie, marquages pré-opératoires).

Pôle gynécologique

  • Nous effectuons les examens diagnostics (échographies pelviennes par voie sus pubienne, IRM pelvienne sans et avec injection de produit de contraste en fonction des indications) permettant l'étude des organes génitaux et du pelvis féminin dans son ensemble, principalement afin de diagnostiquer les tumeurs bégnines et malignes (utérus et ovaires), mais également pour la recherche de maladies gynécologiques de type endométriose. 

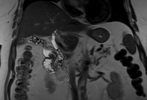
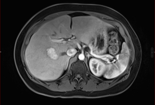
L’imagerie digestive regroupe les différentes modalités d’imagerie (IRM, CT-scanner, Echographie, Fluoroscopie) disponibles pour l’étude des organes du système digestif (principalement le foie, la rate, le pancréas et l’intestin). Dans ce but, le service de radiologie de l’H-JU dispose d’un matériel performant, compétitif et de collaborateurs dotés d’une grande expérience ; ceci permettant d’optimiser la prise en charge de chaque patient.

  • Imagerie diagnostique : en collaboration avec différents services, notamment le service des urgences, la chirurgie viscérale, la gastroentérologie et l’oncologie, l’imagerie digestive est un pilier fondamental du diagnostic et de la prise en charge des patients souffrants d’affections du système digestif.
  • Imagerie interventionnelle : qui vise principalement à prélever des échantillons de tissus/lésions (biopsies) de façon percutanée sous guidage échographique/scanographique dans le but de leur analyse histologique par des laboratoires de l’Universität Spital Basel. L’imagerie interventionnelle offre également, la possibilité de traiter des pathologies infectieuses (ex. abcès) par des drainages percutanés sous guidage radiologique. Les drainages d’ascite (liquide abdominal) sont également des gestes réalisés fréquemment.  

Prestations principales

  • Cholangio-IRM
  • IRM hépatique
  • IRM pancréatique
  • IRM du rectum
  • Entéro-IRM (analyse de l’intestin grêle principalement)
  • CT scanner abdominal avec/sans injection IV de produit de contraste ; avec/sans contraste per os/rectal
  • Echographie du système digestif
  • Transit gastro-oesophagien / transit intestinal suivi (examen en temps réel de la déglutition et du péristaltisme)
  • Défecographie (examen en temps réel du processus de défécation)
  • Imagerie digestive interventionnelle (biopsies, drainages, ponction évacuatrice)

La radiopédiatrie regroupe l’ensemble des prestations d’imagerie médicale destinées à la population pédiatrique depuis la naissance jusqu’à l’adolescence. Ses particularités sont liées au développement anatomique : l’anatomie des enfants change continuellement tout au long de leur croissance et une méconnaissance de ces particularités peut entraîner une mauvaise interprétation des images radiologiques.

Au service de radiologie de l’hôpital du jura, les différentes modalités d’examens diagnostiques sont réalisées sur les sites de Delémont et Porrentruy.

L’H-JU propose une prise en charge adaptée à l’enfant, des techniques d’exploration et une interprétation des images également propres à l’enfant. L’imagerie pédiatrique à l’H-JU privilégie les modalités d’imagerie non irradiante comme l’échographie et l’IRM.

En fonction de l’âge du patient et l’indication, les pédiatres ainsi que les médecins prescripteurs collaborent avec le radiologue afin de prescrire l’examen adéquat.

L’unité s’engage dans une démarche active en faveur de l’enseignement (colloques réguliers et échanges avec les pédiatres, chirurgiens et urgentistes). 

Notre service propose différentes modalités d’examens :

  • Radiologie conventionnelle : tous types d’examens : osseux, pulmonaires, digestifs, urinaires, arthrographies…
  • Echographie : tous les systèmes y compris transfontanellaire, hanches nouveau-né
  • Scanner : crâne, os, poumon, abdomen,…
  • IRM : imagerie neurologique, ostéo-articulaire, tissus mous …

Imagerie dédiée à l’analyse de l’appareil cardiovasculaire en collaboration avec les cardiologues et les angiologues. Imagerie diagnostique par scanner et IRM, ainsi qu'échographie Doppler.

 

Prestations 

  • scanner des artères coronaires.
  • IRM cardiaques
  • scanners angiographiques du thorax et de l’abdomen, ainsi que des membres inférieurs
  • échographies et Doppler des vaisseaux artériels et veineux

Il s'agit de l’ensemble des techniques radiologiques qui contribuent à explorer une maladie tumorale, par l’obtention d’images permettant un diagnostic, guidant un geste biopsique voire un geste thérapeutique.

Notre mission dans ce domaine de compétence
L’imagerie est au cœur du parcours de soins des pathologies tumorales et permet d’adapter les traitements.

L’imagerie est au cœur du parcours de soins des pathologies tumorales et permet d’adapter les traitements. Les examens radiologiques sont principalement réalisés dans 5 situations  :

  • Dépistage chez les patients exposés à des facteurs de  risques
  • Diagnostic devant un symptôme ou une lésion  indéterminée
  • Bilan d’extension d’une lésion
  • Evaluation de l’efficacité du traitement
  • Surveillance après traitement

Examens réalisés dans le service d’imagerie de l’H-JU (avec ou sans injection de produit de contraste). A noter que les examens d’imagerie fonctionnelle (scintigraphie, PET-Scan), ainsi que les images interventionnelles diagnostiques complexes et thérapeutiques sont réalisés en collaboration avec le l'Hôpital universitaire de Bâle.    

  • Scanner thoracique natif à faible dose : dépistage des tumeurs broncho-pulmonaires ou pleurales
  • Echographie hépatique : dépistage des tumeurs du foie dans les suivis  d’hépatopathie
  • Radiographie : examen diagnostique de première intention dans certains organes (poumons, os) , suivi thérapeutique
  • Scanner, échographie et IRM d’organe : diagnostic, bilan d’extension loco-régional, suivi thérapeutique (ex : scanner pharyngo-laryngé, échographie de la thyroïde, IRM hépatique, etc.)
  • Scanner thorax-abdomen-pelvis : dépistage d’une maladie tumorale, diagnostic, bilan d’extension d’une maladie, suivi thérapeutique
  • IRM du corps entier : bilan d’extension d’une maladie, suivi  thérapeutique
  • Radiologie interventionnelle diagnostique : biopsie sous contrôle échographique ou scanner.  

Information pratique pour la patiente ou le patient
Le jour de l’examen, il est important d'apporter ses comptes-rendus et anciens examens d’imagerie afin que le radiologue puisse évaluer correctement les nouvelles données.

L’imagerie thoracique évalue la paroi thoracique, les poumons ainsi que les structures de voisinage du cœur et des gros vaisseaux. L’équipe de radiologie travaille en étroite collaboration avec les médecins de l’H-JU et les médecins généralistes pour le diagnostic de nombreuses pathologies parmi lesquelles :

  • Pneumonie
  • Emphysème
  • Fibrose pulmonaire
  • Pathologies interstitielles diffuses
  • Maladies des petites vois aériennes
  • Nodules pulmonaires
  • Embolies pulmonaires

Concernant les principales pathologies pulmonaires et thoraciques extrapulmonaires, l’H-JU offre un vaste panel de moyens diagnostiques à savoir :

  • Radiographie standard
  • Tomodensitométrie à haute résolution
  • Angiographie par TDM
  • Tomodensitométrie low dose pour le dépistage de cancer pulmonaire
  • Imagerie par résonnance magnétique
  • Echographie  

Densitométrie

L’Hôpital du Jura et ses spécialistes en rhumatologie et endocrinologie poursuivent le  développement de la filière ostéoporose qui vise à offrir une prévention des fractures secondaires. Nous offrons à MEDIQO+ une prestation de densitométrie dès le 19 septembre avec un accès très facile, y compris pour les personnes à mobilité réduite se déplaçant avec des béquilles ou en fauteuil roulant. Le confort des patients est grandement amélioré et la disponibilité de la prestation durant l’année est largement augmentée. 

Pour offrir cette nouvelle prestation, l’H-JU s’est équipé d’un appareil de dernière génération qui permet de mesurer la densité osseuse, c’est-à-dire la masse et la qualité osseuse des patients. Cette méthode de mesure nécessite une très faible quantité de rayons X, ce qui limite beaucoup l’exposition aux rayonnements.

Cette mesure de densité osseuse est demandée en cas de suspicion de fragilité osseuse par le médecin traitant ou un autre spécialiste, tel que le rhumatologue, endocrinologue, gynécologue ou l’orthopédiste. Les conseils de traitement sont toujours transmis au médecin traitant. L’examen est réalisé par le personnel médico-technique du Service de radiologie. L’interprétation est assurée conjointement par les médecins spécialistes de rhumatologie et d’endocrinologie de l’H-JU.  

L’appareil de densitométrie peut aussi servir à analyser la composition corporelle des personnes atteintes d’obésité, de malnutrition ou présentant des déséquilibres métaboliques. Elle est aussi utile pour le suivi des sportifs d’élite ou des personnes en rééducation en fonction de leur entraînement ou de leur rééducation.

 

Infos pratiques

  • Examen disponible les jours ouvrables
  • Uniquement sur rendez-vous pris auprès du service de radiologie H-JU, tél. 032 421 20 06 entre 7h et 18h / radiologie.d@h-ju.ch
  • Images accessibles en ligne pour les patients et pour les médecins prescripteurs, via le PortailRadio sécurisé de l’H-JU

 

 


 

Informations sur le service

Dr Brahim Bahayou
Dr Brahim Bahayou
Médecin chef du service de radiologie
En savoir plus
Thierry Passaplan
Thierry Passaplan
Administrateur du Service de radiologie H-JU
En savoir plus
Dr Arnaud Kolly
Dr Arnaud Kolly
Médecin-chef - Service de radiologie
En savoir plus
Rémy Boner
Dr Rémy Boner
Médecin-chef - Service de radiologie
En savoir plus
Dre Sonia Belkacem
Dre Sonia Belkacem
Médecin adjointe - Service de radiologie
En savoir plus
Lien Pham Hong
Dre Hong Lien Pham
Médecin adjointe - Service de radiologie
En savoir plus
Asma Ben Mabrouk
Dr Asma Ben Mabrouk
Médecin adjoint, Service de radiologie
En savoir plus
Youcef Benslimane
Dr Youcef Benslimane
Médecin adjoint, Service de radiologie
En savoir plus
Dr Marcos  Reginatto
Dr Marcos Reginatto
Chef de clinique - Service de radiologie
En savoir plus
Leila Zouari
Dre Leila Zouari
Cheffe de clinique - Service de radiologie
En savoir plus
Ernest Martinez
Dr Ernest Martinez
Chef de clinique - Service de radiologie
En savoir plus
Michaël Folle
Michaël Folle
TRM chef, Répondant site de Porrentruy
En savoir plus
Kosovare Berisha
Kosovare Berisha
TRM Cheffe, Répondante site de Delémont
En savoir plus
Suela Berisha
Suela Berisha
Responsable administrative / Cheffe de groupe
En savoir plus